Ketika batuk yang awalnya hanya sesekali berubah menjadi terus-menerus, dan napas yang dulu lancar kini terasa berat, Prospero Cruz Cezar (nama samaran) dari Filipina tak pernah menyangka bahwa sembilan tahun setelah berhenti merokok, ia justru harus menghadapi kanker paru. Dalam keputusasaan setelah mencari pengobatan ke sana kemari, ia akhirnya menemukan harapan di Modern Cancer Hospital Guangzhou—sebuah pengobatan presisi yang menggabungkan teknologi minimal invasif dengan kebijaksanaan pengobatan Timur & Barat. Pengobatan presisi ini tak hanya mengecilkan tumornya, tetapi juga secara ajaib menyelamatkannya dari kondisi gagal jantung yang mengancam jiwa.

Kesalahan Diagnosis dan Krisis: Perlombaan Melawan Waktu
Pada Februari 2025, batuk Prospero yang disertai dahak putih tak kunjung sembuh. Rumah sakit setempat keliru mendiagnosisnya sebagai TBC dan tidak memberikan pengobatan yang sesuai. Baru pada bulan April, hasil biopsi jaringan mengungkapkan kebenaran yang mengejutkan: kanker paru sel kecil. Saat itu, ia telah mengalami kesulitan bernapas, bahkan berjalan pun menjadi hal yang sulit.
“Pada masa itu, saya merasa hidup saya perlahan-lahan menghilang.” Mengenang saat pertama kali tiba di Modern Cancer Hospital Guangzhou, ia masih merasa trauma: “Saya benar-benar tak bisa lepas dari alat bantu oksigen. Begitu dilepas, rasanya seperti ada yang mencekik leher saya.”

Intervensi Minimal Invasif + Imunoterapi: Lawan kanker tanpa nyeri. Tim MDT (Multidisciplinary Team) dari St. Stamford Modern Cancer Hospital Guangzhou melakukan diskusi kasus secara menyeluruh untuk Prospero. Berdasarkan kondisi klinisnya, tim merancang rencana pengobatan integratif minimal invasif, yang mencakup:
Embolisasi Intervensi dilakukan dengan memasukkan obat anti-tumor secara tepat ke lokasi tumor melalui kateter berukuran milimeter, sekaligus memutus suplai darah ke tumor untuk membuat tumor mati kelaparan. Karena efek lintas pertama (first-pass effect), konsentrasi obat anti-tumor di area tumor bisa 2 hingga 80 kali lebih tinggi dibandingkan kemoterapi biasa. Sementara itu, obat yang masuk ke seluruh tubuh menjadi lebih encer, sehingga mengurangi efek samping toksik terhadap tubuh. Setelah pengobatan, pasien biasanya hanya mengalami efek samping ringan seperti mual.

Kemudian, dikombinasikan dengan imunoterapi untuk mengaktifkan pertahanan alami tubuh dalam melawan kanker; serta diselaraskan dengan TCM untuk memperkuat akar dan meningkatkan vitalitas, memulihkan berbagai fungsi tubuh secara cepat, mengurangi efek samping dari pengobatan, dan membantu tubuh kembali bertenaga lebih cepat.
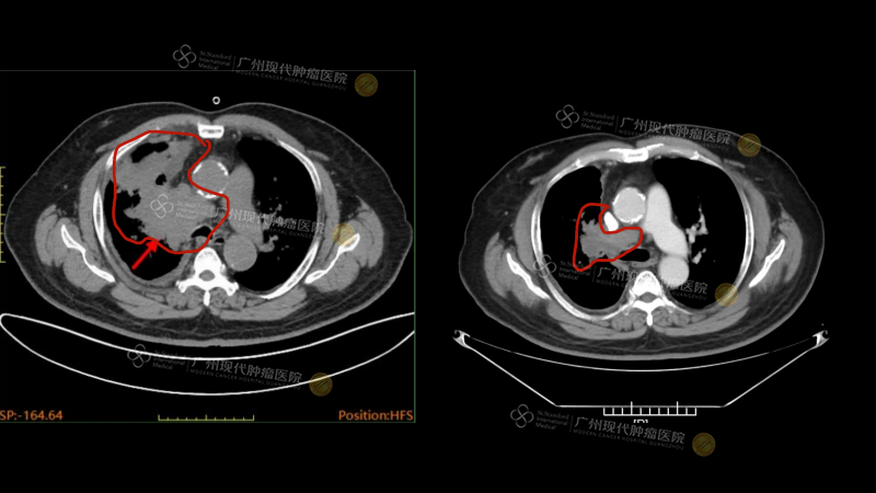
Setelah menyelesaikan siklus pengobatan pertama, Prospero tidak lagi memerlukan alat bantu oksigen, dan pernapasannya menjadi lancar. Setelah tiga siklus pengobatan, tumornya mengecil secara signifikan (dinilai sebagai PR): CT scan sebelum pengobatan menunjukkan ukuran tumor sebesar 81×59×78mm, dan setelah dua kali tindakan intervensi, CT scan ulang menunjukkan ukuran tumor mengecil menjadi 47×32mm.
Berbeda dengan radioterapi dan kemoterapi konvensional, teknologi di sini membuat saya tetap bisa mempertahankan martabat saya. Proses pengobatannya hampir tidak terasa menyakitkan,” ujar Prospero dengan penuh rasa syukur
Kolaborasi Pengobatan Timur dan Barat: Keajaiban Ramuan Penyelamat Jantung
Selama masa pengobatan, sebuah serangan gagal jantung yang mendadak membuat kondisi Prospero memburuk drastis. Ia kembali harus menggunakan alat bantu oksigen, dan kondisinya sangat kritis. Konsultasi bersama antara praktisi TCM dan pengobatan Barat merumuskan rencana pengobatan terpadu. Tim TCM dengan sigap memutuskan untuk menggunakan ramuan “Poge Jiuxin Tang” (ramuan penyelamat jantung) yang dimodifikasi berdasarkan resep tabib terkenal, Li Ke. Setelah dosis pertama, pasien sudah bisa lepas dari alat bantu oksigen pada hari berikutnya. Wajahnya yang sebelumnya pucat kekuningan berubah menjadi merah merona, dan ia tampak penuh semangat!


“Rasanya seperti ada kekuatan yang menarik saya kembali ke dunia,” katanya,“kondisi lemah saya sebelumnya membaik. Sekarang saya masih menjalani pengobatan herbal, dan bahkan nyeri di lutut yang dulu sering saya alami kini sudah tidak terasa lagi.”
Wakil Kepala Departemen TCM menyatakan:“Kami sering mengatakan bahwa pasien kanker sering kali bukan meninggal karena kankernya, melainkan karena kegagalan organ. Dalam TCM, kami memandang tubuh secara holistik dan sistematik, dengan tujuan utama menjamin keberlangsungan hidup pasien. Pengobatan Barat lebih berfokus pada menghilangkan tumor itu sendiri, sementara TCM berfokus pada menyeimbangkan dan memperkuat organ-organ vital dalam tubuh. Dengan menggabungkan TCM dan pengobatan Barat, kami berupaya untuk memperpanjang harapan hidup pasien serta meningkatkan kualitas hidup mereka.”

Kelahiran Baru dan Keyakinan: Menyebarkan Harapan ke Seluruh Dunia
Kini, Prospero tampak penuh semangat dan bertenaga. Ia mengaitkan pemulihannya dengan dua keunggulan utama dari rumah sakit ini: Pertama, teknologi minimal invasif: presisi, minim luka, dan pemulihannya cepat; Kedua, kolaborasi antara pengobatan Timur dan Barat: pengobatan Barat secara tepat menyerang tumor, sementara pengobatan Timur memperkuat daya tahan tubuh dan menangani komplikasi.

“Jangan menyerah, datanglah ke sini dan coba sendiri!” serunya kepada sesama pasien kanker melalui kamera. “Dulu saya bahkan sulit bernapas, sekarang saya bisa menceritakan semua ini sambil tersenyum — inilah bukti terbaiknya.”
Dari bayang-bayang salah diagnosis hingga kembali meraih kesehatan, kisah Prospero menggambarkan makna sejati dari konsep modern dalam melawan kanker: melawan tumor dengan luka seminimal mungkin, dan menjaga kehidupan dengan kebijaksanaan yang telah teruji selama ribuan tahun. Di jalur yang memadukan teknologi modern dan tradisi, Modern Cancer Hospital Guangzhou terus menjadi cahaya harapan bagi semakin banyak pasien.
